Dental implant success

Osseointegration

This page is your go-to resource for understanding osseointegration. Each section breaks down a key aspect of the process, helping you learn step-by-step. At the end of each section, you’ll find helpful links to additional resources if you’d like to explore further.

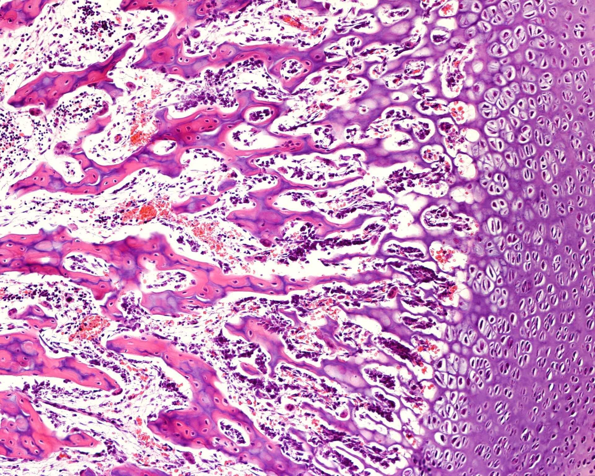
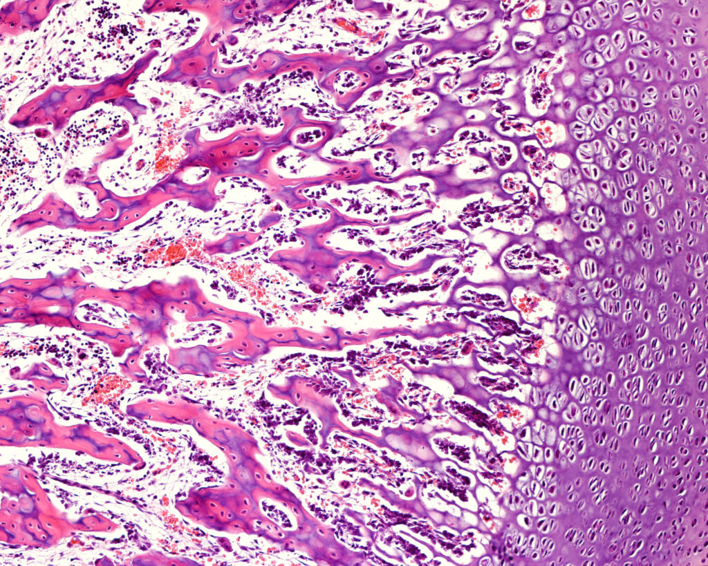
Bone cells remodelling during Osseointegration

What is osseointegration?

Osseointegration refers to the direct and functional bonding between living bone and the surface of an implant, playing a crucial role in the stability and success of dental implants. This biological phenomenon is essential for the long-term success of dental implants and forms the foundation of modern implant dentistry.
Sources: 1, 2.

From mechanical to biological stability

When healing begins, the mechanical stability of the implant—initial stability—decreases as bone remodelling occurs. Patients may experience a temporary dip in stability around two weeks post-surgery as mechanical support fades and biological stability is not yet fully established. The timing of biological stability depends on factors such as the implant’s surface and design, the surgeon’s expertise, and the patient’s biological responses. Risk factors and lifestyle choices also affect osseointegration, causing some patients to heal faster than others.
Sources: 1, 3.

Learn more

Implant osseointegration and the ISQ scale

The osseointegration of implants progresses as they transition from mechanical to biological stability. This process can be measured using the Osstell ISQ (Implant Stability Quotient) scale, which provides clinicians with a reliable, quantifiable method to track dental implant osseointegration. Using RFA (Resonance Frequency Analysis) technology, ISQ values help assess the integration of dental implants with the surrounding bone, guiding treatment decisions and reducing the risk of complications like premature loading.
Sources: 4, 5.

Learn more
The Osstell original ISQ scale
Bone cells remodelling during Osseointegration

Understanding osseointegration in dentistry

How does osseointegration in dentistry work?

During osseointegration, bone cells grow around and bond to the implant surface, transitioning from mechanical to biological stability over time. 1 3

What is an osseointegrated implant?

An osseointegrated dental implant is an implant that has bonded with the surrounding bone, providing a stable foundation for prosthetic teeth that remains secure over time.  1 2

What is the definition of osseointegration in dental implants?

Osseointegration is the direct and functional connection between living bone and the surface of an implant. It is a critical factor in ensuring the stability and success of dental implants. 1 2

Why is the Osstell ISQ scale important?

The Osstell ISQ scale is important because it provides precise insights into the progress of osseointegration, helping clinicians determine the optimal timing for prosthetic loading and ensuring a safe surgical protocol.